Wiele osób zastanawia się, jakie są różnice pomiędzy stomatologiem a dentystą. W rzeczywistości te dwa terminy często używane są zamiennie, ale istnieją pewne subtelne różnice, które warto poznać. Stomatolog to ogólna nazwa dla specjalisty zajmującego się zdrowiem jamy ustnej, podczas gdy dentysta to osoba, która ukończyła studia na kierunku stomatologia i jest uprawniona do wykonywania zabiegów związanych z leczeniem zębów oraz dziąseł. W praktyce oznacza to, że każdy dentysta jest stomatologiem, ale nie każdy stomatolog musi być dentystą w sensie praktycznym. Stomatologia obejmuje szerszy zakres tematów, takich jak ortodoncja, chirurgia szczękowa czy protetyka, co sprawia, że stomatolodzy mogą mieć różne specjalizacje. Dla pacjentów istotne jest zrozumienie tych różnic, aby mogli wybrać odpowiedniego specjalistę w zależności od ich potrzeb zdrowotnych.
Czym zajmuje się stomatolog a czym dentysta?
Stomatolog i dentysta mają wiele wspólnych zadań, ale także różnice w zakresie swoich obowiązków. Dentysta koncentruje się głównie na diagnostyce oraz leczeniu chorób zębów i dziąseł. W jego pracy kluczowe są takie czynności jak przeprowadzanie przeglądów stomatologicznych, leczenie próchnicy, usuwanie zębów oraz wykonywanie zabiegów estetycznych. Dentysta może także zajmować się ortodoncją, czyli prostowaniem zębów przy pomocy aparatów ortodontycznych. Z kolei stomatolog ma szerszy wachlarz kompetencji i może specjalizować się w różnych dziedzinach stomatologii. Może to obejmować chirurgię szczękową, gdzie wykonuje bardziej skomplikowane operacje związane z kośćmi szczęki oraz tkankami miękkimi jamy ustnej. Stomatologowie mogą również pracować nad rekonstrukcją uzębienia przy pomocy implantów czy protez.
Kiedy warto udać się do stomatologa a kiedy do dentysty?

Decyzja o tym, czy udać się do stomatologa czy dentysty, często zależy od specyfiki problemu zdrowotnego. Jeśli pacjent ma ból zęba lub zauważył inne objawy związane z uzębieniem, najczęściej pierwszym krokiem będzie wizyta u dentysty. To on przeprowadzi dokładną diagnostykę i zaproponuje odpowiednie leczenie. W przypadku bardziej skomplikowanych problemów, takich jak konieczność przeprowadzenia operacji chirurgicznej lub leczenia ortodontycznego, pacjent może zostać skierowany do stomatologa specjalizującego się w danej dziedzinie. Ważne jest również regularne odwiedzanie dentysty na przeglądy kontrolne co najmniej raz na pół roku, aby zapobiegać poważniejszym problemom zdrowotnym. Warto pamiętać, że zarówno stomatolodzy jak i dentyści są wykwalifikowanymi specjalistami i ich rolą jest dbanie o zdrowie jamy ustnej pacjentów.
Jakie są najczęstsze pytania dotyczące stomatologii i dentystyki?
Wielu pacjentów ma pytania dotyczące zarówno stomatologii jak i dentystyki. Często pojawiają się wątpliwości dotyczące tego, jak często należy odwiedzać dentystę oraz jakie zabiegi są najbardziej skuteczne w profilaktyce chorób jamy ustnej. Inne popularne pytania dotyczą kosztów leczenia oraz dostępnych metod anestetycznych stosowanych podczas zabiegów. Pacjenci często zastanawiają się także nad tym, jakie są najlepsze metody higieny jamy ustnej oraz jakie produkty do pielęgnacji zębów są najskuteczniejsze. Warto również zwrócić uwagę na pytania dotyczące ortodoncji oraz możliwości prostowania zębów u dorosłych. Odpowiedzi na te pytania można znaleźć zarówno u dentystów jak i stomatologów podczas wizyt kontrolnych lub konsultacji specjalistycznych.
Jakie są najważniejsze aspekty wyboru stomatologa lub dentysty?
Wybór odpowiedniego stomatologa lub dentysty jest kluczowy dla zdrowia jamy ustnej i komfortu pacjenta. Warto zwrócić uwagę na kilka istotnych aspektów, które mogą pomóc w podjęciu decyzji. Po pierwsze, warto sprawdzić kwalifikacje oraz doświadczenie specjalisty. Upewnienie się, że dentysta lub stomatolog ma odpowiednie wykształcenie oraz certyfikaty potwierdzające jego umiejętności, jest podstawą. Kolejnym ważnym czynnikiem jest opinia innych pacjentów. Warto poszukać recenzji w internecie lub zapytać znajomych o ich doświadczenia z danym specjalistą. Atmosfera w gabinecie również ma znaczenie – komfort pacjenta podczas wizyty może wpłynąć na jego chęć do regularnych kontroli. Dobrze jest również zwrócić uwagę na dostępność usług, takich jak możliwość umawiania wizyt online czy elastyczne godziny otwarcia gabinetu. W przypadku dzieci warto poszukać stomatologa, który ma doświadczenie w pracy z najmłodszymi pacjentami i potrafi stworzyć przyjazną atmosferę.
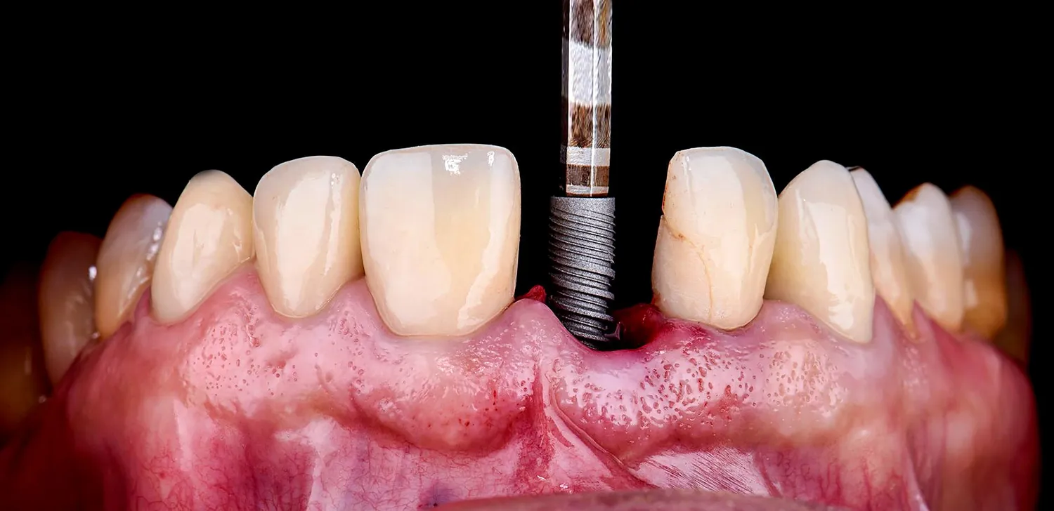
Jakie są nowoczesne metody leczenia w stomatologii i dentystyce?
Nowoczesna stomatologia i dentystyka oferują szereg innowacyjnych metod leczenia, które znacznie poprawiają komfort pacjentów oraz efektywność zabiegów. Jednym z najważniejszych osiągnięć jest zastosowanie technologii cyfrowych, takich jak skanery 3D, które pozwalają na dokładne odwzorowanie uzębienia pacjenta. Dzięki temu lekarze mogą precyzyjniej planować leczenie oraz wykonywać protezy czy aparaty ortodontyczne. Innym przykładem nowoczesnych metod jest wykorzystanie lasera w leczeniu chorób dziąseł oraz w chirurgii stomatologicznej. Laseroterapia minimalizuje ból i krwawienie, co sprawia, że zabiegi są mniej inwazyjne i szybsze. W dziedzinie implantologii również nastąpił znaczny postęp – nowoczesne implanty są bardziej trwałe i estetyczne niż kiedykolwiek wcześniej. Zastosowanie materiałów biokompatybilnych sprawia, że organizm lepiej toleruje wszczepy. Ponadto rozwój technologii komputerowej umożliwia przeprowadzanie symulacji zabiegów, co pozwala pacjentom lepiej zrozumieć planowane leczenie oraz jego efekty.
Jakie są najczęstsze problemy zdrowotne związane z jamą ustną?
Problemy zdrowotne związane z jamą ustną mogą mieć różnorodne źródła i objawy, a ich występowanie często wynika z niewłaściwej higieny lub zaniedbań w zakresie profilaktyki. Najczęściej występującym problemem jest próchnica, która dotyka zarówno dzieci, jak i dorosłych. Jest to choroba bakteryjna prowadząca do demineralizacji szkliwa zębów, co może skutkować bólem oraz koniecznością leczenia kanałowego. Innym powszechnym schorzeniem są choroby dziąseł, takie jak zapalenie dziąseł czy paradontoza, które mogą prowadzić do utraty zębów jeśli nie zostaną odpowiednio leczone. Pacjenci często skarżą się także na nadwrażliwość zębów, która może być spowodowana erozją szkliwa lub recesją dziąseł. Warto również wspomnieć o problemach ortodontycznych związanych z nieprawidłowym ustawieniem zębów oraz wadami zgryzu, które mogą wpływać na funkcjonowanie całego układu stomatognatycznego.
Jak dbać o zdrowie jamy ustnej między wizytami u stomatologa?
Dbanie o zdrowie jamy ustnej pomiędzy wizytami u stomatologa jest niezwykle ważne dla utrzymania dobrego stanu uzębienia oraz zapobiegania chorobom jamy ustnej. Podstawowym elementem codziennej higieny jest szczotkowanie zębów przynajmniej dwa razy dziennie za pomocą pasty zawierającej fluor. Ważne jest również stosowanie nici dentystycznej do usuwania resztek pokarmowych oraz płynów do płukania jamy ustnej, które pomagają w eliminacji bakterii i świeżości oddechu. Dieta ma ogromny wpływ na zdrowie zębów – ograniczenie spożycia cukrów oraz kwasów pomoże w ochronie przed próchnicą i erozją szkliwa. Należy także pamiętać o regularnym spożywaniu produktów bogatych w wapń oraz witaminę D, które wspierają mineralizację kości i zębów. Unikanie palenia tytoniu oraz nadmiernego spożycia alkoholu również przyczynia się do lepszego stanu zdrowia jamy ustnej.
Jak przygotować się do wizyty u stomatologa lub dentysty?
Przygotowanie się do wizyty u stomatologa lub dentysty może pomóc w zmniejszeniu stresu oraz zwiększeniu efektywności samego badania czy zabiegu. Przede wszystkim warto zebrać wszystkie niezbędne informacje dotyczące swojego stanu zdrowia – jeśli pacjent ma jakieś przewlekłe schorzenia lub przyjmuje leki, powinien poinformować o tym lekarza przed rozpoczęciem wizyty. Dobrym pomysłem jest także sporządzenie listy pytań dotyczących ewentualnych obaw czy problemów zdrowotnych związanych z jamą ustną – to pozwoli na lepszą komunikację ze specjalistą i uzyskanie pełniejszych informacji na temat planowanego leczenia. Warto również zadbać o to, aby dzień wizyty był wolny od stresujących sytuacji – relaksująca atmosfera może pozytywnie wpłynąć na samopoczucie pacjenta. Jeśli pacjent czuje lęk przed wizytą u dentysty, warto rozważyć wcześniejsze skonsultowanie się ze specjalistą w celu omówienia możliwości zastosowania środków uspokajających lub technik relaksacyjnych podczas zabiegów.
Jakie są zalety regularnych wizyt u stomatologa?
Regularne wizyty u stomatologa mają wiele zalet, które przekładają się na ogólny stan zdrowia jamy ustnej oraz samopoczucie pacjenta. Przede wszystkim pozwalają one na wczesne wykrywanie problemów zdrowotnych takich jak próchnica czy choroby dziąseł zanim staną się poważniejsze i wymagają bardziej inwazyjnego leczenia. Kontrolne badania umożliwiają także monitorowanie postępów w terapii ortodontycznej czy protetycznej, co jest szczególnie istotne dla osób noszących aparaty ortodontyczne lub korzystających z implantów. Wizyty te dają również możliwość uzyskania fachowych porad dotyczących higieny jamy ustnej oraz diety sprzyjającej zdrowiu uzębienia. Ponadto regularna opieka stomatologiczna wpływa pozytywnie na ogólny stan zdrowia organizmu – problemy związane z jamą ustną mogą mieć wpływ na inne układy ciała, dlatego ich profilaktyka jest kluczowa dla zachowania dobrego samopoczucia.