Utrata zębów, niezależnie od przyczyny, może znacząco wpłynąć na jakość życia pacjenta. Dotyka nie tylko estetyki uśmiechu, ale również funkcji żucia, mowy, a nawet samopoczucia psychicznego. Na szczęście współczesna stomatologia oferuje rozwiązania, które pozwalają skutecznie odzyskać utracone uzębienie. Jednym z najnowocześniejszych i najbardziej efektywnych sposobów na odbudowę brakujących zębów są implanty stomatologiczne. Warszawa, jako stolica Polski, oferuje szeroki dostęp do wysokiej jakości usług implantologicznych, gdzie doświadczeni specjaliści wykorzystują najnowsze technologie, aby przywrócić pacjentom zdrowie, piękny uśmiech i pewność siebie.
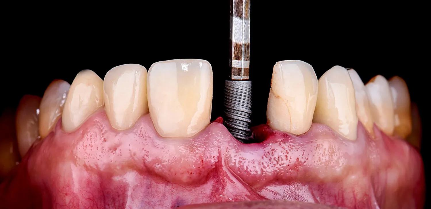
Implant zębowy to w zasadzie niewielka, ale niezwykle wytrzymała śruba wykonana zazwyczaj z tytanu, która jest wszczepiana chirurgicznie w kość szczęki lub żuchwy. Stanowi ona stabilną podstawę dla przyszłej odbudowy protetycznej, takiej jak korona, most czy proteza. Dzięki temu rozwiązaniu, nowe zęby wyglądają, czują się i funkcjonują niemal identycznie jak naturalne. Proces ten wymaga precyzji, wiedzy anatomicznej oraz doświadczenia chirurga stomatologa. Warto podkreślić, że implanty stomatologiczne są biokompatybilne, co oznacza, że organizm ludzki doskonale je toleruje, a tkanki kostne zrastają się z ich powierzchnią, tworząc trwałe połączenie.
Decydując się na leczenie implantologiczne w stolicy, pacjenci mogą liczyć na kompleksową opiekę, zaczynając od szczegółowej diagnostyki, poprzez planowanie leczenia, sam zabieg chirurgiczny, aż po etap protetyczny. Dostępność zaawansowanego sprzętu diagnostycznego, takiego jak tomografia komputerowa (CBCT), pozwala na precyzyjne zaplanowanie każdego etapu leczenia, minimalizując ryzyko powikłań i maksymalizując szanse na sukces. Wybór odpowiedniego miejsca do wszczepienia implantu oraz dobór właściwego systemu implantologicznego to kluczowe czynniki decydujące o długoterminowych rezultatach terapii. Warszawa oferuje szeroki wybór renomowanych klinik stomatologicznych, które specjalizują się w leczeniu implantologicznym, zatrudniając wykwalifikowanych lekarzy z wieloletnią praktyką.
Kiedy warto rozważyć implanty zębowe w Warszawie dla swojego zdrowia?
Decyzja o wszczepieniu implantów zębowych w Warszawie powinna być poprzedzona dokładną analizą indywidualnych potrzeb i stanu zdrowia jamy ustnej. Istnieje szereg sytuacji, w których implanty stanowią najlepsze, a nierzadko jedyne skuteczne rozwiązanie terapeutyczne. Przede wszystkim, implanty są idealnym rozwiązaniem dla osób, które straciły jeden lub więcej zębów na skutek urazu, choroby przyzębia, próchnicy lub innych czynników. Brak nawet pojedynczego zęba może prowadzić do poważnych konsekwencji, takich jak przesuwanie się zębów sąsiednich, co z kolei może skutkować wadami zgryzu, problemami z żuciem, a nawet zmianami w rysach twarzy.
Implanty zębowe są również doskonałą alternatywą dla tradycyjnych protez ruchomych. Choć protezy mogą być skuteczne w uzupełnianiu braków zębowych, często wiążą się z dyskomfortem, problemami z utrzymaniem higieny, a także mogą powodować podrażnienia dziąseł i ucisk na błonę śluzową. Implanty, wszczepione w kość, stanowią stabilne i komfortowe rozwiązanie, które pozwala cieszyć się pełną funkcjonalnością uzębienia, bez ograniczeń związanych z protezami ruchomymi. Dzięki nim pacjent może swobodnie jeść, mówić i śmiać się, nie martwiąc się o stabilność swoich zębów.
Kolejnym ważnym wskazaniem do zastosowania implantów jest sytuacja, gdy pacjent posiada zdrowe zęby sąsiednie do luki po utraconym zębie. W tradycyjnym leczeniu mostowym, zdrowe zęby muszą zostać oszlifowane, aby mogły stanowić filary dla mostu protetycznego. Implanty pozwalają na zachowanie integralności zdrowych zębów, co jest niezwykle ważne dla długoterminowego zdrowia jamy ustnej. Jest to podejście zachowawcze, które minimalizuje inwazyjność leczenia. Dodatkowo, implanty zapobiegają zanikowi kości, który naturalnie następuje po utracie zęba. Stymulacja kości przez implant działa podobnie jak korzeń naturalnego zęba, zapobiegając resorpcji tkanki kostnej i utrzymując prawidłowy kształt twarzy.
Jakie są etapy leczenia implantami zębowymi w Warszawie od początku do końca?

Po zebraniu wszystkich niezbędnych informacji, następuje etap planowania leczenia. Lekarz wraz z pacjentem omawia dostępne opcje, przedstawia plan leczenia, harmonogram zabiegów oraz koszty. W tym momencie można również omówić estetykę przyszłej odbudowy protetycznej, aby uzyskać jak najbardziej naturalny efekt. Po zaakceptowaniu planu leczenia, przystępuje się do zabiegu chirurgicznego wszczepienia implantu. Jest to procedura zazwyczaj wykonywana w znieczuleniu miejscowym, choć w przypadku pacjentów odczuwających silny lęk, można zastosować sedację lub nawet znieczulenie ogólne. Chirurg wykonuje niewielkie nacięcie w dziąśle, przygotowuje łożysko w kości i precyzyjnie wprowadza implant.
Po zabiegu chirurgicznym następuje okres gojenia i osteointegracji, czyli zrastania się implantu z kością. Trwa on zazwyczaj od kilku tygodni do kilku miesięcy, w zależności od indywidualnych czynników pacjenta i lokalizacji implantu. W tym czasie implant jest ukryty pod dziąsłem lub przykryty tymczasową odbudową protetyczną. Po zakończeniu procesu osteointegracji, lekarz odsłania implant i przykręca do niego łącznik (abutment), który będzie podstawą dla korony protetycznej. Następnie pobierane są wyciski, na podstawie których w laboratorium protetycznym tworzona jest indywidualna korona, most lub proteza. Ostatnim etapem jest osadzenie finalnej odbudowy protetycznej na implancie i dopasowanie jej do zgryzu pacjenta. Po zakończeniu leczenia pacjent otrzymuje zalecenia dotyczące higieny i regularnych kontroli.
Gdzie szukać najlepszych specjalistów od implantów zębowych w Warszawie?
Wybór odpowiedniego specjalisty i kliniki to kluczowy element sukcesu leczenia implantologicznego w Warszawie. Pacjenci poszukujący wysokiej jakości usług powinni kierować się kilkoma istotnymi kryteriami, aby mieć pewność, że trafiają w dobre ręce. Przede wszystkim warto zwrócić uwagę na doświadczenie i kwalifikacje lekarza. Dobrym wskaźnikiem jest posiadanie przez lekarza certyfikatów potwierdzających ukończenie specjalistycznych szkoleń z zakresu implantologii, a także długoletnia praktyka w tym obszarze. Warto również sprawdzić, czy klinika dysponuje nowoczesnym sprzętem diagnostycznym i terapeutycznym, takim jak tomograf komputerowy, unit stomatologiczny z zaawansowanymi funkcjami czy systemy do planowania cyfrowego.
Opinie innych pacjentów są cennym źródłem informacji, jednak należy podchodzić do nich z pewnym dystansem. Zamiast polegać wyłącznie na pojedynczych opiniach, warto szukać informacji na renomowanych portalach medycznych, forach internetowych poświęconych stomatologii, a także pytać o rekomendacje wśród znajomych lub rodziny, którzy przeszli podobne leczenie. Dobrym pomysłem jest również odwiedzenie kilku klinik, aby osobiście ocenić atmosferę, profesjonalizm personelu i standardy higieny. Podczas pierwszej wizyty konsultacyjnej warto zadać lekarzowi szczegółowe pytania dotyczące planowanego leczenia, używanych materiałów, potencjalnych ryzyk i kosztów.
Oto kilka praktycznych wskazówek, które pomogą w znalezieniu najlepszych specjalistów od implantów zębowych w Warszawie:
- Sprawdź rekomendacje i opinie w internecie na sprawdzonych portalach medycznych.
- Zapytaj o polecenia wśród znajomych, rodziny lub lekarza rodzinnego.
- Zwróć uwagę na doświadczenie i kwalifikacje lekarza implantologa, jego specjalizacje i ukończone kursy.
- Oceń nowoczesność sprzętu diagnostycznego i terapeutycznego w klinice.
- Nie bój się zadawać pytań podczas wizyty konsultacyjnej, aby rozwiać wszelkie wątpliwości.
- Porównaj oferty kilku klinik pod względem zakresu usług, jakości materiałów i cen.
- Zwróć uwagę na atmosferę w klinice i profesjonalizm całego zespołu.
Pamiętaj, że inwestycja w dobrego specjalistę to inwestycja w Twoje zdrowie i komfort na lata. Nie warto oszczędzać na kluczowych etapach leczenia, które mają wpływ na Twój przyszły uśmiech i samopoczucie.
Jakie są koszty związane z implantami zębowymi w Warszawie i co na nie wpływa?
Koszty związane z implantami zębowymi w Warszawie są zróżnicowane i zależą od wielu czynników. Jest to inwestycja, która wymaga przemyślenia, dlatego ważne jest, aby pacjent był świadomy wszystkich składowych ceny. Podstawowym elementem wpływającym na koszt jest sam implant. Na rynku dostępne są różne systemy implantologiczne, produkowane przez renomowane firmy, które różnią się jakością materiałów, technologią wykonania i ceną. Zazwyczaj implanty wykonane z wysokiej jakości tytanu, od znanych producentów, są droższe, ale jednocześnie oferują większą trwałość i biokompatybilność.
Kolejnym ważnym czynnikiem wpływającym na cenę jest stopień skomplikowania zabiegu. W niektórych przypadkach, aby móc wszczepić implant, konieczne jest przeprowadzenie dodatkowych procedur, takich jak regeneracja kości (augmentacja) lub podniesienie dna zatoki szczękowej (sinus lift). Te zabiegi przygotowawcze wymagają dodatkowego materiału kostnego, specjalistycznych technik chirurgicznych i dłuższego czasu leczenia, co naturalnie podnosi ostateczny koszt terapii. Im lepsza jakość i ilość tkanki kostnej pacjenta, tym prostszy i tańszy może być zabieg implantacji.
Oto główne czynniki wpływające na całkowity koszt implantów zębowych w Warszawie:
- Rodzaj i marka użytego implantu stomatologicznego.
- Konieczność przeprowadzenia dodatkowych zabiegów chirurgicznych, takich jak regeneracja kości czy sinus lift.
- Rodzaj odbudowy protetycznej – korona pojedyncza, most czy proteza na implantach.
- Materiał, z którego wykonana jest korona protetyczna (np. ceramika cyrkonowa, porcelana).
- Doświadczenie i renoma lekarza implantologa oraz kliniki stomatologicznej.
- Koszt diagnostyki, w tym wykonania tomografii komputerowej.
- Koszty związane z wizytami kontrolnymi i higienizacją.
Warto również zaznaczyć, że cena często obejmuje nie tylko sam zabieg wszczepienia implantu, ale także koszt łącznika i finalnej korony protetycznej. Niektóre kliniki oferują pakiety, które obejmują cały proces leczenia, co może być bardziej korzystne finansowo. Przed podjęciem decyzji o leczeniu, zawsze warto poprosić o szczegółowy kosztorys i upewnić się, że rozumiesz wszystkie pozycje rachunku. Pamiętaj, że leczenie implantologiczne to długoterminowa inwestycja w zdrowie i estetykę Twojego uśmiechu, dlatego warto wybierać rozwiązania oparte na jakości i doświadczeniu specjalistów.
Jak dbać o implanty zębowe w Warszawie po zakończeniu leczenia dla ich trwałości
Prawidłowa higiena i regularne wizyty kontrolne to fundament długowieczności implantów zębowych wszczepionych w Warszawie. Choć implanty są wykonane z materiałów odpornych na próchnicę, ich otoczenie, czyli dziąsła i kość, są narażone na procesy zapalne, podobnie jak w przypadku naturalnych zębów. Zaniedbanie higieny może prowadzić do periimplantitis, czyli zapalenia tkanek okołowszczepowych, które w skrajnych przypadkach może skutkować utratą implantu. Dlatego niezwykle ważne jest, aby pacjent po zakończeniu leczenia implantologicznego stosował się do zaleceń lekarza i aktywnie dbał o higienę swojej jamy ustnej.
Podstawą codziennej higieny jest dokładne szczotkowanie zębów dwa razy dziennie, przy użyciu miękkiej szczoteczki do zębów i pasty z fluorem. Szczególną uwagę należy zwrócić na obszary wokół implantu i łącznika, gdzie mogą gromadzić się resztki pokarmowe i płytka nazębna. W celu zapewnienia kompleksowej higieny, zaleca się stosowanie dodatkowych narzędzi, takich jak nici dentystyczne, irygatory wodne lub specjalistyczne szczoteczki międzyzębowe. Irygator wodny jest szczególnie pomocny w usuwaniu bakterii i resztek jedzenia z trudno dostępnych miejsc wokół implantu, masując jednocześnie dziąsła i poprawiając ich ukrwienie.
Regularne wizyty kontrolne u stomatologa są równie istotne dla utrzymania implantów w doskonałym stanie. Zazwyczaj zaleca się wizyty co sześć miesięcy, podczas których lekarz ocenia stan implantów, tkanek miękkich i zgryzu, a także przeprowadza profesjonalne czyszczenie. Podczas tych wizyt lekarz może wychwycić ewentualne problemy na wczesnym etapie, zanim zdążą się rozwinąć i spowodować poważniejsze konsekwencje. Kontrole pozwalają również na weryfikację prawidłowości zgryzu i ewentualne korekty, co ma kluczowe znaczenie dla równomiernego rozkładu sił żucia na implanty.
Oto kluczowe zasady dbania o implanty zębowe:
- Dokładne szczotkowanie zębów co najmniej dwa razy dziennie.
- Stosowanie nici dentystycznych lub irygatora wodnego do czyszczenia przestrzeni międzyzębowych i wokół implantu.
- Używanie płynu do płukania jamy ustnej o działaniu antybakteryjnym, zgodnie z zaleceniem lekarza.
- Regularne wizyty kontrolne u stomatologa co najmniej raz na sześć miesięcy.
- Unikanie gryzienia twardych przedmiotów, takich jak kostki lodu czy długopisy.
- W przypadku wystąpienia jakichkolwiek niepokojących objawów, takich jak ból, obrzęk czy krwawienie, należy niezwłocznie skontaktować się z lekarzem.
Przestrzeganie tych prostych zasad pozwoli cieszyć się pełnym i zdrowym uśmiechem przez wiele lat, zachowując funkcjonalność i estetykę wszczepionych implantów zębowych.