Implanty zębowe to coraz popularniejsza metoda uzupełniania braków w uzębieniu, a ich ceny mogą się znacznie różnić w zależności od wielu czynników. W Warszawie cennik implantów zębowych jest uzależniony od doświadczenia lekarza, jakości użytych materiałów oraz lokalizacji gabinetu stomatologicznego. Warto zaznaczyć, że cena jednego implantu może wynosić od kilku do kilkunastu tysięcy złotych, co często obejmuje również dodatkowe usługi, takie jak konsultacje czy badania diagnostyczne. Wiele klinik oferuje różne pakiety, które mogą zawierać nie tylko sam implant, ale także koronkę oraz inne elementy protetyczne. Dodatkowo, pacjenci powinni być świadomi, że na całkowity koszt wpływają także ewentualne zabiegi przygotowawcze, takie jak podniesienie dna zatoki czy regeneracja kości. Dlatego przed podjęciem decyzji warto dokładnie zapoznać się z ofertą różnych gabinetów i porównać ceny oraz jakość usług.
Jakie są najczęstsze pytania dotyczące implantów zębowych w Warszawie
Wielu pacjentów ma wiele pytań związanych z implantami zębowymi, zwłaszcza gdy rozważają tę formę leczenia. Często pojawiają się pytania dotyczące samego zabiegu, jego bezpieczeństwa oraz czasu rekonwalescencji. Pacjenci zastanawiają się również nad tym, jakie są przeciwwskazania do wszczepienia implantu oraz jakie są możliwe powikłania. Innym istotnym zagadnieniem jest to, jak długo trwa proces gojenia po wszczepieniu implantu oraz kiedy można przystąpić do wykonania korony protetycznej. Wiele osób interesuje się także tym, jak dbać o implanty po ich wszczepieniu oraz jakie są zalecenia dotyczące higieny jamy ustnej w przypadku posiadania implantów. Ponadto pacjenci często pytają o to, czy istnieją różnice w jakości implantów oferowanych przez różne kliniki oraz jakie marki są najbardziej polecane przez specjalistów.
Jakie są zalety i wady stosowania implantów zębowych w Warszawie

Decyzja o wyborze implantów zębowych wiąże się z wieloma zaletami oraz pewnymi wadami, które warto rozważyć przed podjęciem ostatecznej decyzji. Do głównych zalet należy ich trwałość – odpowiednio założone i pielęgnowane implanty mogą służyć przez wiele lat, a nawet całe życie. Implanty wyglądają bardzo naturalnie i są funkcjonalne, co pozwala na normalne jedzenie i mówienie bez obaw o ich przesunięcie czy wypadnięcie. Kolejnym atutem jest to, że nie trzeba szlifować zdrowych zębów sąsiednich, co jest konieczne w przypadku mostków protetycznych. Z drugiej strony istnieją również pewne wady związane z tym rozwiązaniem. Koszt implantów może być znaczny i nie każdy może sobie na nie pozwolić. Dodatkowo zabieg wszczepienia implantu wiąże się z pewnym ryzykiem powikłań oraz długim czasem gojenia. Nie każdy pacjent jest również odpowiednim kandydatem do tego rodzaju leczenia – osoby z chorobami przyzębia czy cukrzycą mogą mieć trudności z uzyskaniem pozytywnych efektów leczenia.
Gdzie znaleźć najlepsze oferty na implanty zębowe w Warszawie
Aby znaleźć najlepsze oferty na implanty zębowe w Warszawie warto skorzystać z różnych źródeł informacji. Internet jest doskonałym miejscem do rozpoczęcia poszukiwań – wiele klinik stomatologicznych posiada swoje strony internetowe, gdzie można zapoznać się z cennikiem oraz zakresem oferowanych usług. Warto również zwrócić uwagę na opinie innych pacjentów zamieszczane na forach internetowych czy portalach społecznościowych, które mogą dostarczyć cennych informacji o jakości usług danej kliniki oraz doświadczeniu lekarzy. Rekomendacje znajomych lub rodziny również mogą okazać się pomocne przy wyborze odpowiedniego miejsca do przeprowadzenia zabiegu. Niektóre kliniki oferują promocje lub rabaty dla nowych pacjentów, co może znacząco wpłynąć na koszt całego leczenia. Dodatkowo warto zwrócić uwagę na programy lojalnościowe lub możliwość ratalnego finansowania zabiegów, co może ułatwić dostęp do tej formy leczenia dla większej liczby osób.
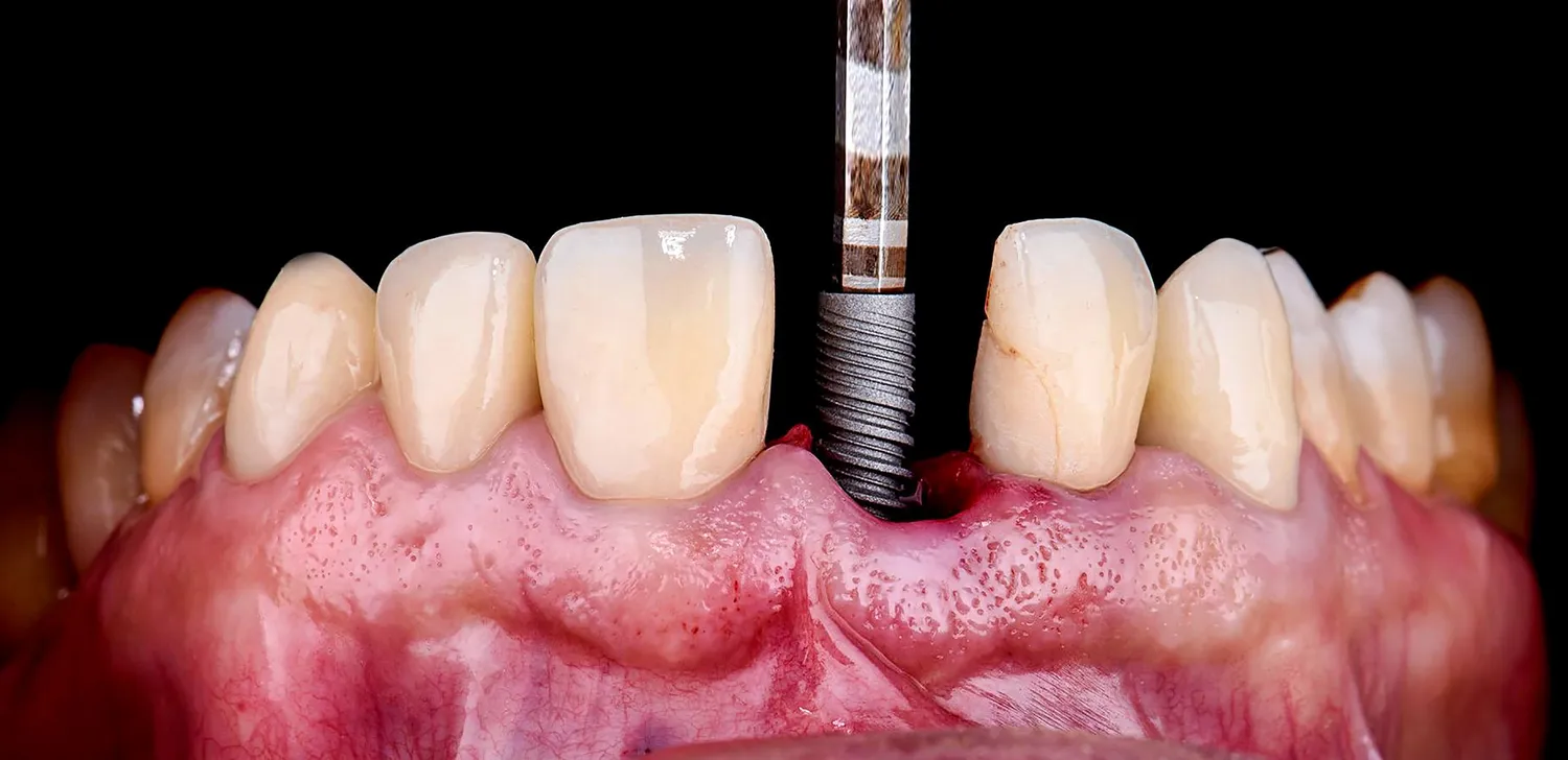
Jakie są etapy leczenia implantologicznego w Warszawie
Proces leczenia implantologicznego składa się z kilku kluczowych etapów, które są niezbędne do osiągnięcia optymalnych rezultatów. Pierwszym krokiem jest szczegółowa konsultacja, podczas której lekarz ocenia stan zdrowia pacjenta oraz wykonuje badania diagnostyczne, takie jak zdjęcia rentgenowskie czy tomografia komputerowa. Na podstawie tych informacji specjalista może zaplanować dalsze działania oraz określić, czy pacjent jest odpowiednim kandydatem do zabiegu. Kolejnym etapem jest wszczepienie implantu, które odbywa się zazwyczaj w znieczuleniu miejscowym. W trakcie tego zabiegu chirurg wprowadza implant w miejsce brakującego zęba, a następnie zakrywa go dziąsłem, aby umożliwić proces gojenia. Po kilku miesiącach, gdy implant zrośnie się z kością, następuje drugi etap – odsłonięcie implantu i umocowanie na nim łącznika, który będzie podstawą dla korony protetycznej. Ostatnim krokiem jest wykonanie korony, która jest indywidualnie dopasowywana do kształtu i koloru naturalnych zębów pacjenta.
Jakie są najnowsze technologie w implantologii zębów w Warszawie
W ostatnich latach rozwój technologii medycznych znacząco wpłynął na dziedzinę implantologii stomatologicznej. W Warszawie wiele klinik korzysta z nowoczesnych rozwiązań, które zwiększają skuteczność zabiegów oraz komfort pacjentów. Jednym z takich innowacyjnych podejść jest wykorzystanie cyfrowego planowania zabiegów, które pozwala na precyzyjne zaplanowanie lokalizacji implantu jeszcze przed jego wszczepieniem. Dzięki temu lekarze mogą lepiej dostosować implanty do anatomii pacjenta oraz uniknąć potencjalnych komplikacji. Kolejnym przykładem nowoczesnej technologii jest zastosowanie materiałów biokompatybilnych, które wspierają proces gojenia i integracji implantu z kością. Wiele klinik oferuje również możliwość wykorzystania skanera wewnątrzustnego do dokładnego odwzorowania uzębienia pacjenta, co pozwala na szybsze i bardziej precyzyjne wykonanie koron protetycznych. Dodatkowo techniki takie jak wszczepienie implantów w znieczuleniu ogólnym czy sedacji zapewniają większy komfort pacjentom obawiającym się bólu lub dyskomfortu podczas zabiegu.
Jak dbać o implanty zębowe po ich wszczepieniu
Prawidłowa pielęgnacja implantów zębowych jest kluczowa dla ich długowieczności i zdrowia jamy ustnej. Po wszczepieniu implantu ważne jest przestrzeganie zaleceń lekarza dotyczących higieny oraz regularnych wizyt kontrolnych. Pacjenci powinni stosować miękką szczoteczkę do zębów oraz pastę do zębów przeznaczoną dla osób noszących protezy lub implanty. Należy unikać twardych pokarmów oraz nadmiernego obciążania implantu w pierwszych tygodniach po zabiegu, aby umożliwić prawidłowe gojenie się tkanek wokół implantu. Regularne czyszczenie przestrzeni międzyzębowych za pomocą nici dentystycznej lub specjalnych szczoteczek międzyzębowych jest również niezwykle istotne, ponieważ to właśnie w tych miejscach gromadzą się resztki pokarmowe i płytka bakteryjna. Oprócz codziennej higieny jamy ustnej warto również regularnie odwiedzać stomatologa na kontrole oraz profesjonalne czyszczenie, co pozwoli na bieżąco monitorować stan zdrowia implantów oraz otaczających je tkanek.
Jakie są alternatywy dla implantów zębowych w Warszawie
Dla osób, które nie mogą lub nie chcą zdecydować się na implanty zębowe istnieje kilka alternatywnych metod uzupełniania braków w uzębieniu. Jedną z najpopularniejszych opcji są mosty protetyczne, które polegają na osadzeniu sztucznego zęba na zdrowych zębach sąsiednich. Mosty mogą być estetyczne i funkcjonalne, jednak wymagają szlifowania zdrowych zębów, co może być dla niektórych pacjentów nieakceptowalne. Inną opcją są protezy ruchome, które można łatwo wyjmować i zakładać według potrzeb. Protezy są tańszym rozwiązaniem niż implanty, ale mogą być mniej stabilne i komfortowe w użytkowaniu. Warto również zwrócić uwagę na nowoczesne protezy stałe mocowane na specjalnych zaczepach lub implantach miniaturowych, które oferują większą stabilność niż tradycyjne protezy ruchome.
Jak znaleźć dobrego stomatologa zajmującego się implantami w Warszawie
Wybór odpowiedniego stomatologa zajmującego się implantami zębowymi to kluczowy krok w procesie leczenia. Aby znaleźć specjalistę o odpowiednich kwalifikacjach i doświadczeniu warto zacząć od poszukiwań online – wiele klinik posiada strony internetowe zawierające informacje o lekarzach oraz ich specjalizacjach. Dobrym pomysłem jest również zapoznanie się z opiniami innych pacjentów zamieszczonymi na forach internetowych czy portalach społecznościowych. Rekomendacje znajomych lub rodziny mogą okazać się bardzo pomocne przy wyborze odpowiedniego stomatologa. Ważne jest także sprawdzenie certyfikatów i szkoleń ukończonych przez lekarza – dobrze wykształcony stomatolog powinien regularnie uczestniczyć w kursach i konferencjach związanych z nowinkami w dziedzinie implantologii. Podczas pierwszej wizyty warto zwrócić uwagę na atmosferę panującą w gabinecie oraz sposób komunikacji lekarza – dobry stomatolog powinien być otwarty na pytania pacjenta i potrafić jasno wyjaśnić wszystkie aspekty związane z planowanym leczeniem.
Jakie są trendy w implantologii stomatologicznej w Warszawie
Implantologia stomatologiczna to dziedzina medycyny dynamicznie rozwijająca się dzięki postępom technologicznym oraz rosnącym oczekiwaniom pacjentów. W Warszawie można zauważyć kilka istotnych trendów wpływających na sposób leczenia braków w uzębieniu. Jednym z nich jest rosnąca popularność cyfrowego planowania zabiegów oraz wykorzystania technologii CAD/CAM do produkcji koron protetycznych na miejscu w gabinecie stomatologicznym. Dzięki tym rozwiązaniom możliwe jest znaczne skrócenie czasu oczekiwania na gotowe uzupełnienia oraz zwiększenie ich precyzji dopasowania do naturalnych zębów pacjenta. Innym trendem jest stosowanie materiałów biokompatybilnych o wysokiej jakości, co przekłada się na lepsze wyniki leczenia oraz mniejsze ryzyko powikłań pooperacyjnych. Coraz więcej klinik oferuje także usługi związane z regeneracją kości przed wszczepieniem implantu, co pozwala na skuteczne leczenie pacjentów z zanikiem kości szczękowej lub żuchwy.