Implanty stomatologiczne w Warszawie zyskują coraz większą popularność jako skuteczna metoda zastępowania utraconych zębów. Jedną z głównych zalet implantów jest ich trwałość, ponieważ wykonane są z materiałów biokompatybilnych, takich jak tytan, co sprawia, że integrują się z kością szczęki. Dzięki temu pacjenci mogą cieszyć się stabilnością i komfortem, które są porównywalne z naturalnymi zębami. Kolejną istotną korzyścią jest estetyka, ponieważ implanty wyglądają i funkcjonują jak prawdziwe zęby, co pozwala na zachowanie naturalnego uśmiechu. W Warszawie wiele klinik oferuje nowoczesne technologie oraz indywidualne podejście do pacjenta, co zwiększa szanse na sukces zabiegu. Dodatkowo, implanty pomagają w utrzymaniu zdrowia jamy ustnej, zapobiegając przesuwaniu się sąsiednich zębów oraz zanikanie kości w miejscu utraconego zęba.
Jak przebiega proces zakupu implantów stomatologicznych w Warszawie
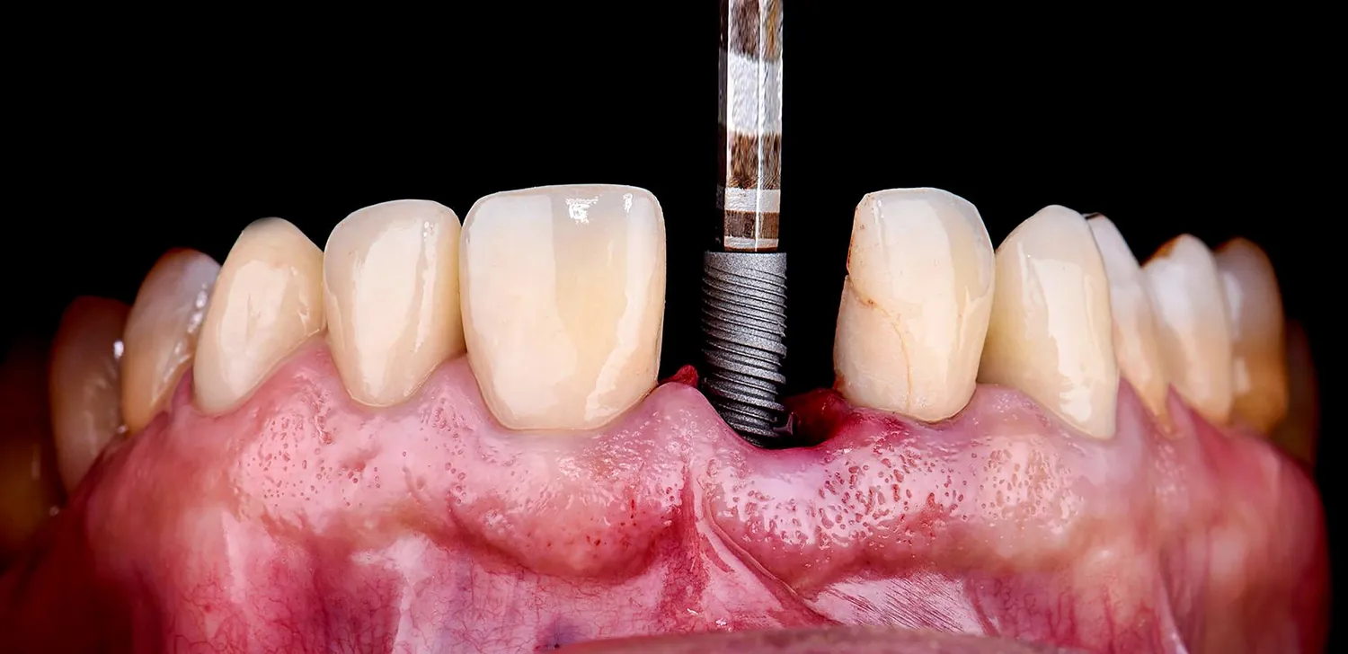
Proces zakupu implantów stomatologicznych w Warszawie rozpoczyna się od konsultacji ze specjalistą, który oceni stan zdrowia pacjenta oraz przeprowadzi szczegółowe badania diagnostyczne. W trakcie wizyty lekarz może wykonać zdjęcia rentgenowskie lub tomografię komputerową, aby dokładnie zobaczyć strukturę kości i określić najlepsze miejsce do wszczepienia implantu. Po postawieniu diagnozy lekarz przedstawia plan leczenia oraz kosztorys, co pozwala pacjentowi na podjęcie świadomej decyzji. Następnie następuje etap chirurgiczny, podczas którego implant jest wszczepiany w kość szczęki. Po zabiegu pacjent otrzymuje zalecenia dotyczące pielęgnacji oraz diety na czas gojenia. Warto zaznaczyć, że cały proces może trwać kilka miesięcy, ponieważ konieczne jest zapewnienie odpowiedniej integracji implantu z kością.
Jakie są koszty implantów stomatologicznych w Warszawie

Koszty implantów stomatologicznych w Warszawie mogą się znacznie różnić w zależności od wielu czynników, takich jak lokalizacja kliniki, doświadczenie lekarza oraz zastosowane materiały. Średnio ceny za jeden implant wahają się od kilku do kilkunastu tysięcy złotych. Warto jednak pamiętać, że cena nie zawsze idzie w parze z jakością usług. Wiele klinik oferuje różne promocje oraz pakiety, które mogą obniżyć całkowity koszt leczenia. Dodatkowo warto zwrócić uwagę na to, czy w cenie zawarte są dodatkowe usługi takie jak konsultacje czy kontrole po zabiegu. Niektóre placówki umożliwiają także rozłożenie płatności na raty lub oferują współpracę z instytucjami finansowymi, co może być korzystnym rozwiązaniem dla pacjentów obawiających się wysokich jednorazowych wydatków.
Jakie są opinie pacjentów o implantach stomatologicznych w Warszawie
Opinie pacjentów o implantach stomatologicznych w Warszawie są przeważnie pozytywne, co świadczy o wysokiej jakości usług świadczonych przez lokalne kliniki stomatologiczne. Pacjenci często podkreślają komfort oraz estetykę uzyskanych efektów po zabiegu. Wiele osób zwraca uwagę na to, że po wszczepieniu implantu czują się pewniej i swobodniej w codziennym życiu, co ma ogromny wpływ na ich samopoczucie psychiczne i społeczne. Również opinie dotyczące samego procesu leczenia są pozytywne; pacjenci chwalą profesjonalizm lekarzy oraz personelu medycznego oraz ich indywidualne podejście do każdego przypadku. Często wspominane są również nowoczesne technologie stosowane podczas zabiegów oraz wysoka jakość materiałów używanych do produkcji implantów.
Jakie są najczęstsze pytania dotyczące implantów stomatologicznych w Warszawie
Wielu pacjentów ma liczne pytania dotyczące implantów stomatologicznych w Warszawie, co jest zrozumiałe, biorąc pod uwagę, że jest to poważny krok w kierunku poprawy zdrowia jamy ustnej. Jednym z najczęściej zadawanych pytań jest to, jak długo trwa cały proces leczenia. Odpowiedź na to pytanie może być różna w zależności od indywidualnych potrzeb pacjenta oraz stanu jego uzębienia. Zazwyczaj cały proces, od konsultacji do ostatecznego umieszczenia korony, może trwać od kilku miesięcy do roku. Kolejnym istotnym zagadnieniem jest kwestia bólu związana z zabiegiem wszczepienia implantu. Współczesna stomatologia dysponuje nowoczesnymi metodami znieczulenia, które znacząco minimalizują dyskomfort podczas zabiegu. Pacjenci często pytają również o to, czy implanty są odpowiednie dla każdego. Warto zaznaczyć, że istnieją pewne przeciwwskazania, takie jak choroby przyzębia czy niewystarczająca ilość kości, które mogą uniemożliwić przeprowadzenie zabiegu.
Jakie są alternatywy dla implantów stomatologicznych w Warszawie
Choć implanty stomatologiczne w Warszawie są jedną z najskuteczniejszych metod odbudowy brakujących zębów, istnieją również inne opcje, które mogą być rozważane przez pacjentów. Jedną z najpopularniejszych alternatyw są mosty protetyczne, które pozwalają na uzupełnienie brakującego zęba poprzez osadzenie sztucznego zęba na sąsiednich zdrowych zębach. Mosty są mniej inwazyjne niż implanty i mogą być wykonane w krótszym czasie. Inną opcją są protezy ruchome, które mogą być stosowane zarówno w przypadku częściowych, jak i całkowitych braków uzębienia. Protezy są tańszą alternatywą, ale mogą nie zapewniać takiej samej stabilności i komfortu jak implanty. Warto również wspomnieć o technice zwanej „zabiegami augmentacyjnymi”, które polegają na odbudowie kości przed wszczepieniem implantu. Dla osób obawiających się zabiegów chirurgicznych lub tych, którzy nie mają wystarczającej ilości kości, takie metody mogą być interesującą alternatywą.
Jak dbać o implanty stomatologiczne po ich wszczepieniu w Warszawie
Prawidłowa pielęgnacja implantów stomatologicznych po ich wszczepieniu jest kluczowa dla ich długowieczności oraz zdrowia jamy ustnej. Po pierwsze, ważne jest przestrzeganie zasad higieny jamy ustnej, takich jak regularne szczotkowanie zębów oraz nitkowanie. Pacjenci powinni używać miękkiej szczoteczki do zębów oraz pasty zawierającej fluor, aby uniknąć uszkodzenia implantu oraz otaczających tkanek. Również zaleca się unikanie twardych pokarmów oraz nadmiernego obciążania implantu w pierwszych tygodniach po zabiegu. Regularne wizyty kontrolne u stomatologa są niezbędne do monitorowania stanu implantu oraz wykrywania ewentualnych problemów na wczesnym etapie. Warto również zwrócić uwagę na dietę; unikanie palenia tytoniu oraz ograniczenie spożycia alkoholu może znacząco wpłynąć na proces gojenia i integracji implantu z kością.
Jak wybrać odpowiednią klinikę stomatologiczną do wszczepienia implantów w Warszawie
Wybór odpowiedniej kliniki stomatologicznej do wszczepienia implantów w Warszawie jest kluczowy dla sukcesu całego procesu leczenia. Przede wszystkim warto zwrócić uwagę na doświadczenie lekarzy oraz ich kwalifikacje. Wiele klinik oferuje możliwość zapoznania się z opiniami innych pacjentów oraz referencjami, co może pomóc w podjęciu decyzji. Dobrze jest również sprawdzić, jakie technologie i materiały są stosowane podczas zabiegów; nowoczesne urządzenia oraz wysokiej jakości materiały mogą znacząco wpłynąć na efekt końcowy leczenia. Kolejnym aspektem jest atmosfera panująca w klinice; komfort psychiczny pacjenta ma ogromne znaczenie podczas leczenia stomatologicznego. Warto również zwrócić uwagę na lokalizację kliniki oraz dostępność terminów wizyt; elastyczność harmonogramu może być istotna dla osób prowadzących intensywne życie zawodowe.
Jakie nowinki technologiczne wpływają na rozwój implantologii stomatologicznej w Warszawie
Rozwój technologii ma ogromny wpływ na implantologię stomatologiczną w Warszawie i na całym świecie. Nowoczesne metody diagnostyczne, takie jak tomografia komputerowa czy skanowanie 3D, umożliwiają dokładniejsze planowanie zabiegów oraz precyzyjne umieszczanie implantów. Dzięki tym technologiom lekarze mogą lepiej ocenić stan kości i dostosować plan leczenia do indywidualnych potrzeb pacjenta. Ponadto rozwój materiałów biokompatybilnych sprawił, że implanty stały się bardziej trwałe i odporne na korozję, co zwiększa ich żywotność i komfort użytkowania. Innowacyjne techniki chirurgiczne, takie jak metoda „all-on-4”, pozwalają na wszczepienie całych łuków zębowych przy użyciu tylko czterech implantów; to znacznie skraca czas leczenia i zmniejsza ryzyko powikłań. Również zastosowanie technologii CAD/CAM umożliwia precyzyjne projektowanie koron protetycznych, co przekłada się na lepsze dopasowanie i estetykę uzębienia.
Jakie są najnowsze trendy w implantologii stomatologicznej w Warszawie
Najnowsze trendy w implantologii stomatologicznej w Warszawie koncentrują się głównie na poprawie jakości życia pacjentów oraz zwiększeniu efektywności zabiegów. Coraz większą popularnością cieszą się techniki minimalnie inwazyjne, które pozwalają na przeprowadzenie zabiegów bez konieczności dużych nacięć czy długiego okresu rekonwalescencji. Dzięki temu pacjenci mogą wrócić do codziennych aktywności znacznie szybciej niż przy tradycyjnych metodach chirurgicznych. Wzrost zainteresowania estetyką sprawił również, że lekarze zaczynają stosować bardziej zaawansowane materiały do produkcji koron protetycznych; dzięki temu możliwe jest osiągnięcie lepszej harmonii kolorystycznej oraz naturalnego wyglądu uzębienia. Trendem staje się także personalizacja leczenia; lekarze coraz częściej dostosowują plany terapeutyczne do indywidualnych potrzeb pacjentów, uwzględniając ich oczekiwania estetyczne oraz funkcjonalne.